Teeth Fillings

Restore decayed teeth and protect them from further damage.

Teeth Fillings

What are Teeth Fillings?

Teeth fillings are restorative treatments used to repair cavities caused by tooth decay. They help restore the tooth’s shape, strength, and function while preventing further decay and sensitivity.

At Dant Arogyam, we use high-quality, tooth-colored composite materials that blend seamlessly with your natural enamel, offering both durability and aesthetics.

Whether it’s a new cavity or an old filling that needs replacement, our skilled dentists ensure safe, precise, and long-lasting results.

  • Natural-looking composite fillings
  • Quick and painless procedure
  • Preserves more of your natural tooth
  • Prevents future decay and infection

Uses of Teeth Fillings

Types of Teeth Fillings

Composite Fillings

Made of tooth-colored resin for a natural look. Ideal for front teeth or visible areas and bonds directly to the tooth structure.

Amalgam Fillings

Strong and durable, made from a mixture of metals. Best suited for molars where chewing pressure is high.

Glass Ionomer Fillings

Release fluoride to protect the tooth. Often used for children or non-load-bearing areas of the mouth.

Ceramic Fillings

Made of porcelain, these are durable and aesthetically pleasing. Resist staining better than composite resin.

Advantages & Disadvantages

Advantages
  • Stops decay and prevents further damage to the tooth.
  • Restores functionality and chewing ability.
  • Improves the appearance of chipped or worn teeth.
  • Variety of material choices for durability and aesthetics.
Disadvantages
  • Some materials may wear out or need replacement over time.
  • Composite fillings may stain with coffee, tea, or smoking.
  • Amalgam fillings are visible and may not be preferred aesthetically.
  • Tooth sensitivity may occur after the procedure in some cases.

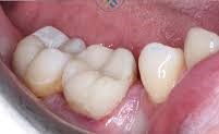
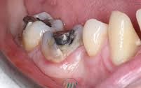
Before & After Treatment

Frequently Asked Questions

Yes, we use biocompatible, durable materials designed to last many years with proper care.

The procedure usually takes about 30 to 45 minutes per tooth and is completed in one visit.

Absolutely! Our tooth-colored composite fillings are made to match your enamel for a seamless look.

Why Choose Dant Arogyam?

Painless Procedure
Painless Procedure

Advanced anesthesia ensures a smooth, stress-free experience.

Expert Dentists
Expert Dentists

Led by experienced specialists with 14+ years of trust.

Latest Equipment
Latest Equipment

Precision tools and rotary files for accurate results.

Top Hygiene
Top Hygiene Protocols

We follow global sterilization and infection control standards.

Need to repair a decayed tooth?

Book Your Appointment Now
Whatsapp us Call us