Aligners

Straighten your teeth discreetly with precision orthodontic care using USA Invisalign at Dant Arogyam.

Clear Aligners

What are Clear Aligners?

Clear aligners are removable, nearly invisible trays designed to straighten teeth and correct bite issues discreetly. They are ideal for fixing mild to moderate crowding, gaps, overbites, and underbites—giving you a confident, aligned smile.

At Dant Arogyam, we use USA Invisalign for adults and teens. Our orthodontists employ iTero Scanner 3D scans and digital planning to ensure predictable results and a smooth, comfortable treatment experience.

Correcting dental alignment with clear aligners not only improves appearance but also enhances oral hygiene, speech, and jaw comfort.

  • Customized treatment plans for all age groups
  • Removable and nearly invisible Invisalign trays
  • Digital smile preview with advanced iTero Scanner
  • Regular progress reviews for optimal results

About USA Invisalign

Invisalign is a globally recognized clear aligner system from the USA that offers a discreet, comfortable, and highly effective way to straighten teeth. It is ideal for both teens and adults looking for a virtually invisible solution to alignment and bite issues.

The system uses advanced 3D imaging and precision-engineered trays to apply gentle, controlled forces for predictable tooth movement. Digital treatment planning allows patients to see a preview of their smile before starting, ensuring customized results.

  • Nearly invisible, removable aligners
  • Precision 3D digital treatment planning
  • Comfortable and less intrusive than traditional braces
  • Regular progress tracking by orthodontists
  • Effective for mild to moderate alignment issues
USA Invisalign Technology
Itero Scanner

About Itero Scanner

Itero Scanner is a state-of-the-art 3D dental scanner used for precise imaging of teeth and gums. It enables accurate digital impressions without the need for messy traditional molds, making the orthodontic process faster and more comfortable for patients.

The scanner provides detailed 3D models that allow orthodontists to plan treatments with high precision, track progress, and predict final results. It works seamlessly with systems like Invisalign for efficient, customized treatment.

  • Fast and comfortable digital impressions
  • Highly accurate 3D models of teeth and gums
  • Reduces the need for traditional molds
  • Improves precision in orthodontic treatment planning
  • Enables digital smile previews for patients

Uses of Aligners

Crooked Teeth

Gapped Teeth

Open Bite

Deep Bite

Types of Clear Aligners

Invisalign Full

Designed for comprehensive orthodontic treatment, correcting complex alignment and bite issues for both teens and adults. Uses a full series of custom trays for predictable results.

Invisalign Teen

Specifically designed for teenagers, featuring compliance indicators and accommodating erupting teeth. Provides discreet and effective treatment for growing patients.

Invisalign Lite

Suitable for mild to moderate alignment issues. Fewer trays and shorter treatment duration make it a cost-effective solution for minor corrections.

Invisalign i7

Targeted for minor tooth movements and finishing touches. Quick and discreet treatment for patients needing minimal adjustments.

Advantages & Disadvantages

Advantages
  • Discreet and nearly invisible appearance.
  • Removable trays make eating and oral hygiene easier.
  • Predictable results using digital planning and 3D scans.
  • Comfortable with less irritation compared to traditional braces.
Disadvantages
  • Requires strict compliance—must be worn 20–22 hours/day.
  • May not be suitable for very complex cases.
  • Aligners can be lost or damaged if not handled carefully.
  • Regular follow-ups needed to monitor progress.

Before & After Treatment

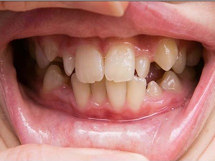
Before Braces

Before - Misaligned Teeth

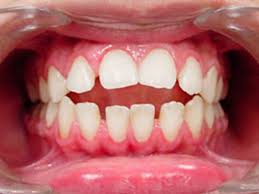
After Braces

After - Aligned & Confident Smile

Frequently Asked Questions

Yes, clear aligners can treat mild to moderate alignment and bite issues effectively for both teens and adults.

Aligners should be worn 20–22 hours a day for optimal results and removed only while eating or brushing.

Some mild discomfort or pressure is normal, especially when switching to a new set of aligners, but it usually subsides within a day or two.

Absolutely. Invisalign is suitable for adults looking for a discreet and comfortable way to straighten teeth.

Why Choose Dant Arogyam?

Painless Procedure
Painless Procedure

Advanced anesthesia ensures a smooth, stress-free experience.

Expert Dentists
Expert Dentists

Led by experienced specialists with 14+ years of trust.

Latest Equipment
Latest Equipment

Precision tools and rotary files for accurate results.

Top Hygiene
Top Hygiene Protocols

We follow global sterilization and infection control standards.

Start your smile transformation today!

Book Your Appointment Now
Whatsapp us Call us