Advanced Gum Treatment

Restore gum health and protect your smile with expert care at Dant Arogyam.

Advanced Gum Treatment

What is Advanced Gum Treatment?

Advanced gum treatment is essential for managing periodontal (gum) disease, which can t-info to tooth loss and other health issues if left untreated. It involves deep cleaning procedures like scaling and root planing to remove plaque and tartar buildup below the gum line.

At Dant Arogyam, we use state-of-the-art ultrasonic tools and laser therapy for precise and painless gum care. Our treatment aims to reduce inflammation, tighten gum tissues, and prevent further damage.

Timely gum treatment not only saves teeth but also contributes to better heart health, as poor gum health is linked to systemic diseases.

  • Deep cleaning for plaque and tartar removal
  • Laser-assisted therapy for faster healing
  • Customized maintenance plans for long-term care
  • Improves breath, aesthetics, and overall health

Uses of Advanced Gum Treatment

Types of Advanced Gum Treatment

Scaling and Root Planing

A deep-cleaning procedure that removes plaque and tartar below the gum line and smoothens root surfaces to promote healing.

Laser Gum Treatment

Minimally invasive method using laser energy to remove diseased tissue and bacteria while preserving healthy gum tissue.

Gum Surgery (Flap Surgery)

Involves lifting the gums to clean deep pockets of infection, then suturing the tissue to promote better healing and attachment.

Bone Grafting & Regeneration

Used to restore lost bone due to gum disease. Promotes new bone growth and provides support for surrounding teeth.

Advantages & Disadvantages

Advantages
  • Stops gum disease progression and preserves teeth.
  • Improves gum health and freshens breath.
  • Minimally invasive options available like laser treatment.
  • Promotes long-term oral health and confidence.
Disadvantages
  • Mild discomfort or sensitivity post-procedure.
  • Multiple sessions may be needed for severe cases.
  • Recovery time varies depending on treatment type.
  • Requires strict oral hygiene to maintain results.

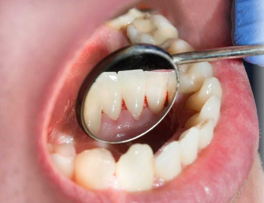
Before & After Treatment

Before Gum Treatment

Before - Inflamed & Bleeding Gums

After Gum Treatment

After - Healthy & Firm Gums

Frequently Asked Questions

Gum disease is primarily caused by plaque buildup, poor oral hygiene, smoking, genetics, and certain systemic illnesses like diabetes.

No, we use local anesthesia and gentle techniques to ensure minimal discomfort during the procedure.

In early stages (gingivitis), it can be reversed with proper care. In advanced stages, treatment can stop progression and improve gum health significantly.

Why Choose Dant Arogyam?

Painless Procedure
Painless Procedure

Advanced anesthesia ensures a smooth, stress-free experience.

Expert Dentists
Expert Dentists

Led by experienced specialists with 14+ years of trust.

Latest Equipment
Latest Equipment

Precision tools and rotary files for accurate results.

Top Hygiene
Top Hygiene Protocols

We follow global sterilization and infection control standards.

Concerned about bleeding or swollen gums?

Book Your Appointment Now
Whatsapp us Call us